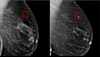
Exciting developments are taking place in the healthcare industry, driven by advancements in technology, particularly in the field of AI and computer vision. Recent studies have shown great promise for the use of AI in the early detection of cancer, achieving impressive accuracy rates of up to 94%. This technology can also be applied in other areas such as drug discovery, personalized medicine, and disease prevention. Beyond healthcare, AI and computer vision can be used to improve road safety, monitor crops, and optimize yield in the agriculture industry, and more. John Deere, for example, has incorporated AI and computer vision technology into its agricultural equipment to help farmers optimize their yields and reduce waste. While there are still challenges to overcome, such as ensuring that AI algorithms are trained on diverse and representative datasets, the future of healthcare looks promising with these technological advancements. #AIinHealthcare #ComputerVision #CancerDetection
Copy and paste this URL into your WordPress site to embed
Copy and paste this code into your site to embed